https://tnv.ru
17 мая 2023, 13:30
556
0

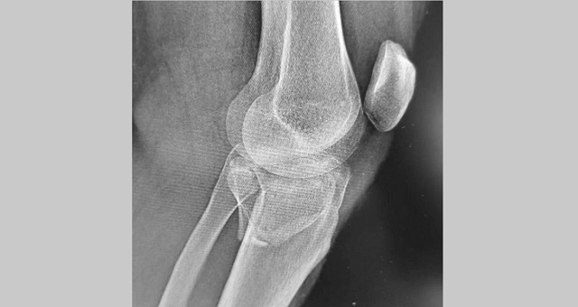
В Казани врачи горбольницы №7 прооперировали мужчину, который в результате падения с самоката получил многооскольчатый перелом верхнего суставного конца большеберцовой кости с разрывом боковых связок.
В ходе операции медики выполнили остеосинтез пластинами и винтами, а также восстановили связки коленного сустава. По словам медиков, самокат в последнее время стал популярным средством попадания в травматологическое отделение.
.jpg)
«Большая скорость, маленькие колеса и неровности на дороге, необходимость объезжать пешеходов на тротуаре… все это пополняет печальную статистику дорожно-транспортных происшествий», — констатировали врачи.
«Выбитые зубы, разбитое лицо, сотрясение мозга — обычные последствия падения с самоката. Каждый шестой человек, упавший на самокате, растягивает либо ломает лодыжку или запястье», — отметили медики.
.jpg)
Фото: телеграм-канал «Травматология и ортопедия Татарстана»
Поделиться
Рубрики новостей
Другие новости по теме
Ударившийся шесть лет назад о мяч житель РТ попал на операционный стол онкодиспансера
Почти полностью оторванную стопу мужчины спасли от ампутации врачи БСМП в Татарстане
Чудеса случаются: две уникальные операции по пересадке почек провели врачи РКБ
Врачи Набережных Челнов спасли руку мужчины от ампутации после укуса «юной» гадюки
В Набережных Челнах врачи «скорой» спасли ребенка с внезапно развившимся отеком Квинке
В Казани врачи спасли ветеринара, глаз которого травмировала рогом корова
Комментарии 0