https://tnv.ru
05 октября 2022, 15:47
255
0
«Алкогольный цирроз стал не только медицинской, но и социально значимой проблемой».

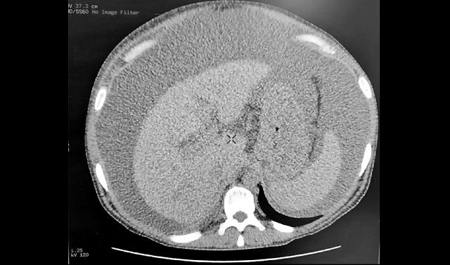
32-летний житель Набережных Челнов заработал себе цирроз печени, злоупотребляя спиртными напитками. Вследствие чего в его животе скопилось 10 литров свободной жидкости, передает пресс-служба Горздрава автограда.
По словам завотделением лучевой диагностики горбольницы №5 Рузаны Миннехановой, практически все органы пациента необратимо повреждены, особенно печень. Состояние пациента удалось стабилизировать, но о полном выздоровлении речь не идет.
«Очень жаль, что молодой мужчина подорвал своё здоровье алкоголем. А ведь у него двое сыновей — их ещё нужно поднимать. На поздней стадии цирроз не лечится. Его развитие можно только замедлить, если мужчина откажется от употребления спиртного, и будет своевременно принимать медикаментозную терапию», — пояснила Миннеханова.

«Сегодня алкогольный цирроз стал не только медицинской, но и социально значимой проблемой — от него погибают мужчины трудоспособного возраста. Не бывает доз спиртного, которые не вредят здоровью. Об этом мы всегда говорим нашим пациентам и рекомендуем избавляться от алкогольной зависимости с помощью прогулок», — добавила врач.
Фото: телеграм-канал «Горздрав Челны»
Поделиться
Рубрики новостей
Комментарии 0